コンテンツへスキップ ナビゲーションに移動

高位脛骨骨切り術|膝周囲骨切り術|膝骨壊死|ふれあい横浜

  • ホームHome
  • 膝の病気Disease
    • 変形性膝関節症
    • ​特発性膝骨壊死
    • 自分でできる筋力増強訓練
  • ​膝周囲骨切り術Knee osteotomy
    • Open wedge 高位脛骨骨切り術
    • DLO
    • ナビゲーション高位脛骨骨切り術
    • Closed wedge 高位脛骨骨切り術
    • 同時前十字靭帯再建
    • ​膝骨壊死の骨切り術
    • 特殊な骨切り術
    • リハビリテーション
  • 鏡視下手術Arthroscopy
    • 膝関節鏡視下手術の併用
  • 人工膝関節置換術Knee arthroplasty
    • ナビゲーション人工膝関節置換術
  • 医師紹介About me
    • 非常勤医師
  • アクセスAccess

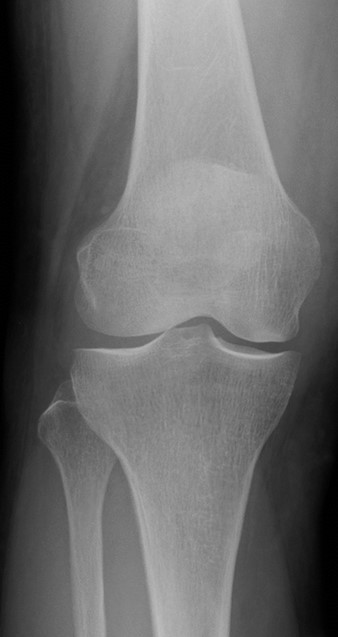
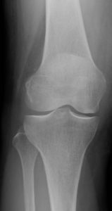
骨壊死2-1

  1. HOME
  2. 膝の病気
  3. ​特発性膝骨壊死
  4. 骨壊死2-1

  • Facebook
  • Bluesky

お気軽にお問い合わせください。

Fureai-Yokohama-Hospital-Joint-Surgery様_logo-yoko

TEL : 045-681-5101
受付時間 8:30-11:00 [月] 8:30-10:30 [第2,4火] 13:00-16:00 [木]
診察時間 9:00-12:00 [月] 9:00-11:00 [第2,4火] 13:30-17:30 [木]
*2024年4月以降、火曜日は第2第4週のみとなります。休診日は、お知らせ(→)に記載します。
〒231-0031 神奈川県横浜市中区万代町2-3-3

休診・予約(あくまで診察開始予定時間です)状況のお知らせ

予約(あくまで診察開始予定時間です)状況:1月8日(木)10時現在、1月15日(木)は時間指定しなければ予約がお取りできます。直接こられても予約していた患者さんの診察時間を削ぐことになりますので、お断りさせていただいています。外来に受診されている患者さんのほとんどが膝の手術前後の患者さんになりますので、混雑時は時間通りにはならないことを御了承ください。最終近くの時間帯は待つことが多いですが、適当に流すことはせず、1人1人きちんと診察することを心掛けています。特殊なケース(交通事故、労働災害、休業補償を申請する、前医から引き続いた治療で書類申請する、現在他院で同一疾患で治療中である)を除き、紹介状は必要ないですが、MRI検査をうけていればもらってきてください。セカンドオピニオン外来は行っていません。他院での手術した後の経過観察・リハビリテーション依頼は、私の外来が回らなくなりますので申し訳ありませんが、お断りしています。また、他院で手術した方の抜釘はトラブルが多く、お断りしています。

休診:第1,3,5火曜日は午前中から手術を始めるため外来は休診です。第2,4火曜日は再来のみの診察となります。2026年2月2日(月)、8月10日(月)の外来は休診です。

Copyright © 高位脛骨骨切り術|膝周囲骨切り術|膝骨壊死|ふれあい横浜 All Rights Reserved.

Powered by WordPress with Lightning Theme & VK All in One Expansion Unit

MENU
  • ホーム
  • 膝の病気
    • 変形性膝関節症
    • ​特発性膝骨壊死
    • 自分でできる筋力増強訓練
  • ​膝周囲骨切り術
    • Open wedge 高位脛骨骨切り術
    • DLO
    • ナビゲーション高位脛骨骨切り術
    • Closed wedge 高位脛骨骨切り術
    • 同時前十字靭帯再建
    • ​膝骨壊死の骨切り術
    • 特殊な骨切り術
    • リハビリテーション
  • 鏡視下手術
    • 膝関節鏡視下手術の併用
  • 人工膝関節置換術
    • ナビゲーション人工膝関節置換術
  • 医師紹介
    • 非常勤医師
  • アクセス